Skip to content Skip to footer

Orthodontic Smile Correction Using Advanced Braces

Patient Clinical Profile

  • Patient ID: — 21068
  • Gender: — Female
  • Age: — 39 Years

Issues Faced by the Patient

The patient presented to Al Salam Health with the following concerns:

• Daily Difficulties:
Difficulty in closing the mouth properly, along with problems while eating food and speaking due to misaligned teeth.

• Smile-Related Concerns:
An uneven smile that made the patient self-conscious when smiling.

Before Treatment (Initial Assessment)

An initial assessment was carried out to understand the patient’s dental alignment and presenting complaints.

Records Used:

  • OPG X-Ray
  • Lateral Cephalogram

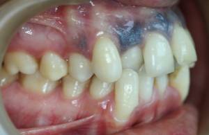
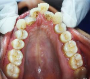
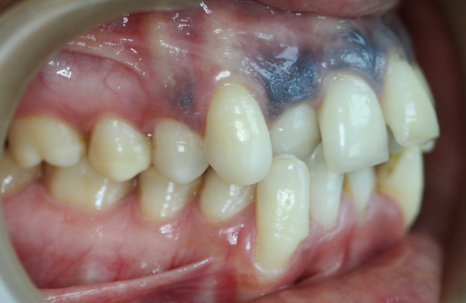
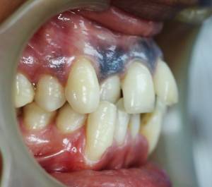
Intraoral Images: — (Before-treatment images)

Consultation & Advanced Diagnostics

On the first visit, a detailed orthodontic consultation was conducted at Al Salam Health. The patient’s dental condition, medical history, and treatment expectations were reviewed to prepare a structured treatment plan.

Diagnostics Used:

  • Clinical orthodontic examination
  • Bite and occlusal assessment
  • Photographic analysis

Additional Records:

  • Dental models
  • Intraoral photographs
  • Extraoral photographs

Clinical Findings:

The patient was diagnosed with Angle’s Class I malocclusion, along with crowded teeth and a crossbite. These conditions caused improper alignment of the teeth and an uneven bite.

Treatment Procedure

Orthodontic Correction Using Advanced New-Generation Braces

• Treatment Modality: Advanced orthodontic braces

• Total Treatment Time: 16 months

Phase 1: Teeth Alignment & Bite Correction

• Procedure Details:

Extraction of teeth 14, 24, 34, and 42 was performed as part of camouflage orthodontic treatment, followed by levelling and alignment of the teeth.

• Objective: Correction of dental alignment and bite to support proper mouth closure.

• Duration: — Initial treatment phase

• Outcome: — Improved dental alignment with correction of bite-related issues.

Phase 2: Final Adjustments & Smile Refinement

• Procedure Details:

Retraction and space closure were performed, followed by final finishing and detailing of the tooth positions.

• Objective: Make minor adjustments to teeth positions to improve the look of the smile and balance of the teeth.

• Duration: — Remaining treatment period

• Outcome: Natural-looking smile with properly aligned teeth.

The treatment was carried out under the care of Dr. Shinod Varghese, Specialist Orthodontist, with over 20 years of experience.

Post-Treatment Care

Post-Treatment Medications: — Not Required

Post-Treatment Instructions:

  • Upper and lower fixed permanent retainers were placed.
  • An upper Hawley retainer was advised for night-time use only, to be worn for one year.

After Treatment (The Result)

After completion of orthodontic treatment, the patient showed:

  • Properly aligned teeth
  • Improved mouth closure
  • A natural smile arc with improved esthetics, appearing even better than veneers

After-treatment images

Patient Feedback

“Before starting treatment, I was uncomfortable with my smile and avoided smiling because of my teeth. Over the 16 months of braces treatment with Dr. Shinod, I gradually saw improvement. After completing the treatment, my teeth are properly aligned, my smile looks natural, and I feel much more confident in everyday situations.”

Subscribe for the updates!

[mc4wp_form id="461" element_id="style-11"]