Skip to content Skip to footer

Correction of Multiple Missing Teeth with Ceramic Bridge and Flexible Dentures

Patient Clinical Profile

  • Gender: — Female
  • Age: — 65 Years

Issues Faced by the Patient

The patient consulted at Al Salam Health with the following concerns:

• Appearance Concerns:

The patient had concerns about the appearance of her teeth due to multiple missing teeth in the upper and lower jaws.

Before Treatment (Initial Assessment)

A dental evaluation was performed to review the condition of the remaining teeth and the number of missing teeth in both jaws.

Assessment Included:

  • Clinical dental examination

  • Evaluation of missing teeth in the upper and lower jaws

  • Bite assessment

  • Photographic documentation

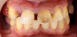
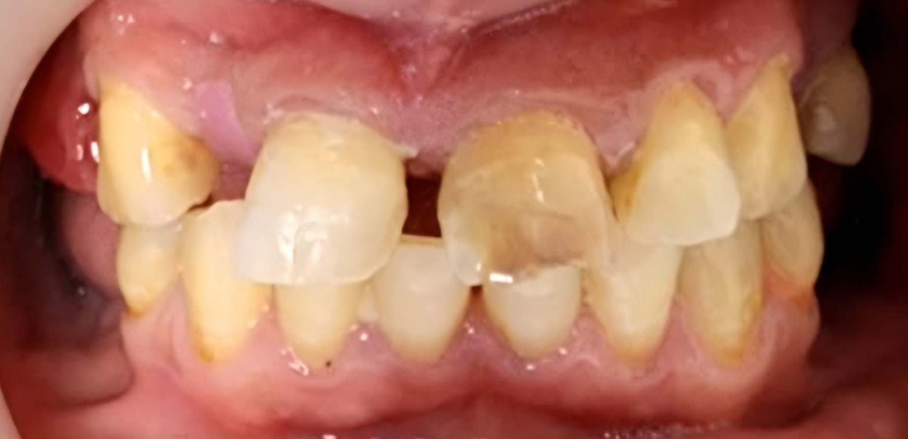
Intraoral Images: — (Before-treatment images)

Consultation & Advanced Diagnostics

During consultation, the patient’s concerns regarding chewing ability and dental appearance were reviewed. The remaining teeth and the vertical dimension of occlusion were examined to determine a suitable restorative approach.

Diagnostics Used:

  • Clinical dental examination

  • Occlusal analysis

  • Photographic analysis

Additional Records:

  • Intraoral photographs
  • Extraoral photographs

Clinical Findings:

The examination showed the following:

  • Teeth 8 and 9 were non-vital and distally rotated, with increased overjet and midline diastema

  • Tooth 7 was missing

  • Teeth 10 and 11 had large restorations

  • Bilateral canine cusp tip attrition was present

  • Multiple posterior teeth were missing: 1, 2, 3, 4, 5, 12, 13, 14, 15, 18, 19, 28, 29, 30, 31

  • Reduced vertical dimension was observed

Treatment Procedure

Treatment for Multiple Missing Teeth with Ceramic Bridge and Flexible Dentures

Treatment Approach: Anterior ceramic fixed partial denture combined with removable flexible partial dentures.

Phase 1: Initial Dental Treatment
  • Endodontic treatment was completed for teeth 8 and 9

  • Oral prophylaxis was performed before starting the restorative procedures

Phase 2: Vertical Dimension Adjustment

A posterior waxed-up denture try-in was performed to determine the vertical dimension. The vertical dimension was increased by 2 mm using a semi-adjustable articulator.

Phase 3: Anterior Ceramic Bridge Placement

A six-unit all-ceramic fixed partial denture was placed in the upper anterior region. The prosthesis improved tooth alignment, spacing, and shade selection.

Phase 4: Replacement of Posterior Missing Teeth

Upper and lower flexible partial dentures were provided to replace the missing posterior teeth and improve chewing ability.

Phase 5: Final Occlusal Adjustment

Final occlusal equilibration was performed to support proper bite balance.

The treatment was provided under the care of Dr. Sonia Bhat, Specialist Prosthodontist, with 16 years of clinical experience.

Post-Treatment Instructions

  • Maintain proper oral hygiene

  • Avoid excessive force on the prosthetic teeth

  • Regular dental check-ups

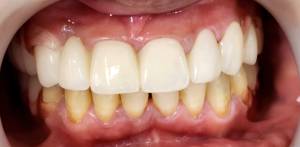
After Treatment (The Result)

After completion of treatment, the patient showed:

  • Improved dental appearance

  • Replacement of missing teeth

  • Better chewing comfort

  • Improved bite balance and vertical dimension

After-treatment images

Patient Feedback

“Before the treatment, I was unhappy with the appearance of my teeth because several teeth were missing. After the treatment with Dr. Sonia Bhat, my teeth look much better and the gaps have been corrected. The overall appearance of my teeth now looks much more balanced and natural.”

Subscribe for the updates!

[mc4wp_form id="461" element_id="style-11"]