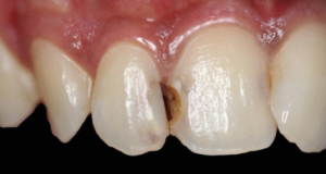
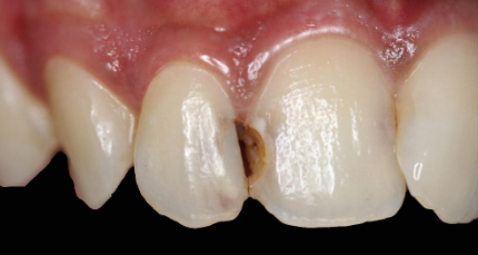
Treatment for Decay Between Front Teeth
Treatment Modality: Tooth-colored filling (composite restoration)
Phase 1: Tooth Preparation
Isolation of the treatment area was done using cotton rolls
Caries removal was performed using a round bur in high speed, limited to the affected area
- Remaining soft dentin was removed using a spoon excavator
Phase 2: Cavity Preparation & Bonding
A clear Mylar strip matrix was placed and held with a wooden wedge to support proper gingival adaptation and contact
Etching was performed using 37% phosphoric acid, followed by rinsing and gentle air drying
- Bonding agent was applied and light-cured
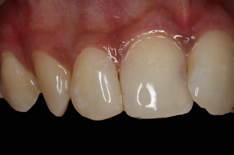
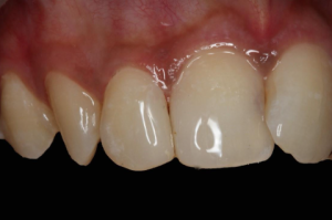
Phase 3: Composite Filling Placement
Composite material was placed in increments, with light curing after each layer
Matrix was removed and proximal contact was checked
Phase 4: Finishing & Bite Adjustment
The treatment was provided under the care of Dr. Farijan Abdul Latheef, G.P Dentist, with 6 years of clinical experience.