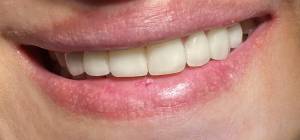
Smile Correction Using E-max Veneers
• Treatment Modality: Ceramic E-max Veneers
• Number of Veneers: 7 Veneers placed on the upper front teet
Phase 1: Tooth Evaluation
• Procedure Details:
The upper front teeth were assessed to determine suitability for veneer placement.
Phase 2: Veneer Placement
• Procedure Details:
Seven E-max veneers were bonded to the upper front teeth. The veneers corrected the discoloration and closed the spaces between the teeth, resulting in consistent tooth shade and improved alignment.
The treatment was carried out under the care of Dr. Anju Ann Baby, General Practitioner Dentist, with 12 years of experience.